According to the latest World Health Organization data, approximately 325 million people on the Earth live with chronic infection caused by the hepatitis B virus (HBV) or the hepatitis C virus (HCV).
Roughly estimated, 5% of the world’s population suffers from various liver diseases, and only 5% of them are aware of it.
These figures mean that if you have 200 friends on Facebook, 10 of them have various liver diseases and most probably do not know about it!

The liver is the largest gland in the human body, which is divided into 4 lobes or 8 segments and performs more than 500 functions.

Viral hepatitides are among the main causes of liver diseases. People residing in hyper-endemic regions are particularly at risk because of the peculiar climate, lifestyle, and nutrition.
Both in the first and in the second case, the organ is damaged because of lipid inclusions or adipose tissue accumulation in hepatocytes.
According to figures from the Federal State Statistics Service (Rosstat), more than 50,000 people die from various liver diseases every year in the Russian Federation!

Liver diseases pose a serious public health threat on an international scale, comparable to other infectious diseases such as HIV infection, tuberculosis, and malaria.
As of this day, there are invasive and non-invasive methods used to diagnose pathological processes in the liver.
The invasive methods include liver biopsy which is considered to be the gold standard in diagnosing chronic diffuse diseases. However, due to high risks of complications and elaborate surgical intervention procedures, though minimal, a biopsy procedure cannot be used to diagnose a wide audience of patients or for preventive medical examination.

Immunological and biochemical blood tests exhibit a sufficiently poor accuracy, type specificity, and high cost – factors which impose a number of restrictions when used for continuous medical examination of citizens.

The ultrasound imaging method provides an indication only about liver morphological features, which change at stages II to IV of the disease, proving inefficient in early liver disease diagnosis.

MRI and CT diagnostic methods are very expensive. Standard techniques and visualization software allow assessing only morphological changes in the liver, but that does not provide a complete picture for early liver disease diagnosis. In addition, when auxiliary visualization methods, like contrasting substances, are used, the procedure cost will substantially increase.

Strain elastography (RTE) is used in modern ultrasound scanners and is applied to diagnose diseases associated with the thyroid and mammary glands. This method is not suitable for liver examinations, as this organ is located deep in the abdominal cavity.
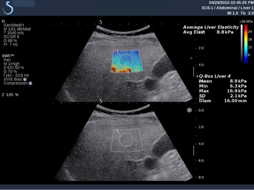
Shear wave elastography (ARFI) is a modern method which is increasingly used in the world healthcare industry to examine the liver using ultrasound machines. It has several advantages when compared to other non-invasive diagnostic methods. This mode is already widely used by many manufacturers, such as GE Healthcare, Philips, Siemens, and SuperSonic, but unfortunately, this method is not yet standardized, does not have an ARFI measurement quality scale, and each manufacturer uses its own interpretation. Shear wave elastography (ARFI) is 90% accurate due to the wavelength index averaging when tissue elasticity is assessed.

Transient elastography (TE) is the most recent technology. This method is unique because insignificant mechanical vibrations which precipitate transverse waves in the liver tissue allow increasing the measured volume by 100 to 200 times than using a biopsy procedure. Such waves are propagated and elasticity coefficient is measured using ultrasound technology. To generate waves, a specialized combined mechanical and ultrasound sensor is utilized. Generating a mechanical wave by such a sensor and knowing parameters and a wavelength beforehand, we can achieve 97% clinical accuracy

Using transient elastography (TE) technique with the FibroTouch device, the obtained data on the liver condition corresponds to stage F1 to F4 disease in the kPa and correlates with the histological fibrosis stage according to the METAVIR scale, as well as takes the IQR measurement quality and reliability scale into account.
In addition, the system highly accurately controls the ultrasound signal attenuation parameter in adipose tissue and, based on the data obtained, calculates the quantitative UAP result in dd/m, which is used to assess the liver steatosis degree.

As of today, the FibroTouch device manufactured by HISKY MED is the most advanced device using transient elastography (TE) technique. The device boasts 135 technology patents and 76 international patents.
The portable ultrasound system for non-invasive liver examination using FT-100 transient elastography (TE) method;

The ultrasound system for non-invasive liver examination using FT-1000 transient elastography (TE) method, combined with an ultrasound module used to assess the liver shape, position, and morphological changes in the organ.

The FibroTouch device provides the advantageous possibility to simultaneously diagnose liver fibrosis and fatty hepatosis, using one specialized sensor for all types of patients – children, men, and women with the standard bodily constitution and obese patients.
1. VERSATILITY:
2. ACCURACY:
3. SAFETY:
Medford Medical Solutions Co., Ltd. is HiSky’s representative office and the first distributor of the FibroTouch device to the Russian market. Offices are available in Moscow, St. Petersburg, and Sevastopol. The company has been supplying medical diagnostic equipment since 2009 and currently also provides servicing and technical support for high-tech medical equipment.
29.01.2019