In this article, we will look at several global brands of portable systems that give us the opportunity to conduct research without leaving the patient's bed, carrying your own smartphone and a small case with a probe that fits comfortably in the pocket of your white doctor's gown.
Key benefits
|
|
Chison Sonoeye |
Philips Lumify |
|
2D-mode |
+ |
+ |
|
М-mode |
+ |
+ |
|
Color doppler |
+ |
+ |
|
PW doppler |
+ |
- |
|
THI |
+ |
+ |
|
Automatic image optimization |
+ AIO |
+ AutoSCAN |
|
Image enhancers |
Compound |
SonoCT XRES |
|
On-line communication |
+ SonoRemote |
+ Reacts |
|
Language |
English, Chinese, German |
English |
|
Connection type |
Type-c |
Type-c, micro-USB |
Comparison of the probes
Chison Sonoeye P2200 g linear transducer with a frequency of 4.5 - 10.0 MHz, suitable for imaging the breast, thyroid, skeletal-muscular system, lungs, vessels and superficial structures. Available calculations for the thyroid and vessels.

Philips Lumify L12-4 – 140 g linear transducer with a frequency of 4.0 – 12.0 MHz and a scanning depth of up to 12 cm. There are specially designed modes for lung, vascular, skeletal musculature, and superficial structures. Also calculations to determine % stenosis in vascular examinations.

Chison Sonoeye P5– from 2.0 to 4.5 MHz convex transducer. It has presets and calculations for abdominal, obstetric examinations; presets for lung and abdominal vessels.

Philips Lumify C5-2 - convex transducer with a frequency of 2.0 - 5.0 MHz and a scanning depth up to 30 cm. The program has presets for abdominal, lung, obstetrics and gynecology examinations.

Chison Sonoeye P3 – phased array transducer with a frequency of 1.5 - 4.0 MHz and programs for the abdomen, cardiac, lung examinations.

Philips Lumify S4-1 - phased array transducer with a frequency of 1.0 - 4.0 MHz and a scanning depth up to 30 cm. It has programs for FAST, cardiac, lung, abdominal, obstetrics and gynecology examinations.

Chison and Philips provide access to video tutorials on using Sonoeye and Lumify products, respectively.
Chison Sonoeye and Philips Lumify are cable-connected systems described above. Another type of connection is wireless (Wi-Fi).
At first, this type of connection was imperfect, took a long time to connect to the phone or tablet and had a lot of lag and interruptions in operation. But the technological world does not stand still, and over the past year manufacturers have simplified and optimized the probe-device connection system as much as possible and updated the software, which allowed to take away the delay in operation and accelerated the connection, which greatly simplified emergency diagnostics for medical professionals. Also, there are optimizers in some manufacturers' software that reduce the number and possibility of artifacts.
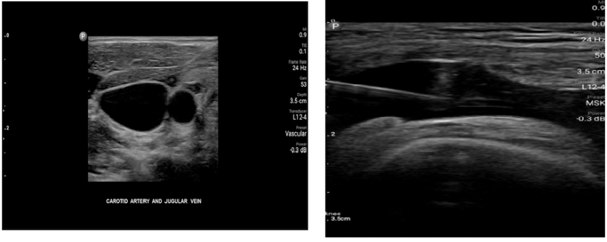
Among the handheld probes on the market, Ramzed models are quite common. At the moment, the manufacturer has released only 2 models of ultrasound handheld probes:

The weight of the probes is 260 grams, which is a bit more average compared to similar models of other manufacturers.
The number of crystal elements reaches 80, which means that the transducer belongs to the entry class and the quality of imaging will be appropriate. Both models have both wired and wireless connection methods. The main feature of the probes is to support 3 operating systems (Windows, IOS, Android), what not every manufacturer can boast.
If we talk about the software, it is universal, without the hidden submenus - everything is directly on the display. One inconvenient option is that you have to connect the transducer to the gadget manually (via the additional menu at the top of the program), but this is also quite fast and can be done right on the way to the patient's bedside.
Here are some clinical images from which you can evaluate the quality of visualization and the interface of the program.

The functionality of Ramzed linear transducer software includes presets for thyroid and breast examinations, programs for carotid arteries and peripheral vascular examinations, as well as presets for small organs and superficially located structures.
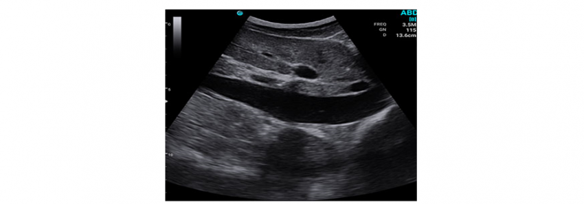
As for the Ramzed convex probe, there are usually default presets for wide abdominal examinations, prostate examinations, gynecological and obstetrical programs.
The clinical calculation package is available only for superficial obstetrical examinations (not for specialized examinations). As for the other programs, the usual calculations to measure the distance, area and volume of the structures are laid there.
Recently, quite often there are requests for equipment for the veterinary field. From our own experience, we can say that the smaller the size of the device, the easier it will be for veterinarians to work. Because in this field you always need to twist and move something, to adjust to each patient, because our pets are often capricious and cannot sit in one place for a long time.
A person with experience of working with different ultrasound diagnostic systems will be able to adjust the machine in the way that would be optimal for him/her. What this means: if the device does not provide a certain type of examination, such as veterinary examinations in the software for human ultrasound, an experienced veterinarian can make a diagnosis without the presets configured for animals.
In the above-mentioned systems, only Chison Sonoeye has the veterinary software so far, where presets for specific animal species are set up. If you are a veterinarian and are considering purchasing another manufacturer, be prepared for the fact that you will need to set up and store the presets with the help of a doctor-applicator or by your own hand.
Also, for the novice veterinarian, we will demonstrate another portable ultrasound transducer with available veterinary software - the Konted Dual head.

One device, contains two types of transducers for ultrasound (convex and linear), which allows you to save money, time and cover a wide range of examinations at a time: from small animals, to large breeds of dogs and cattle.
The transducer frequencies are: linear - 7.5-10 and convex - 2.5-5 MHz.
There are 128 crystalline elements in the device and by visualization it belongs to the medium level pocket scanners.
The weight of the probe is 227 grams, and if you consider the fact that we have 2 in 1, then it is an excellent result of engineering in general.
It is interesting that the scanner can work both via cable and wirelessly, but in our experience, we usually recommend the wired one, it helps the device to process information faster, which gives a minimum delay and better visualization in different operating modes.
Operation modes: B ; M ; B + M ; energy, color and pulsed wave Doppler. Of the programs in the software, there are default presets for cats and dogs, as well as the ability to add new presets. Of the clinical packages, there is only a superficial obstetric examination and the ability to perform simple calculations to measure distances, area and volume of structures.

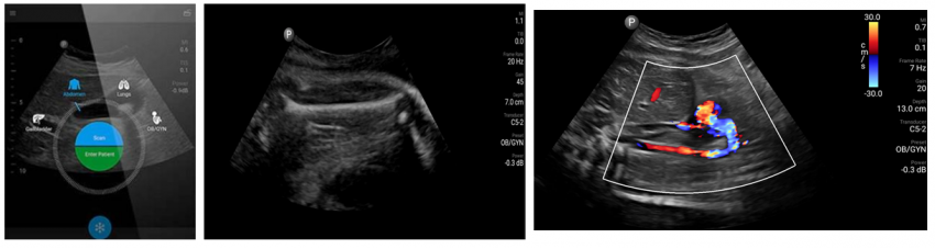
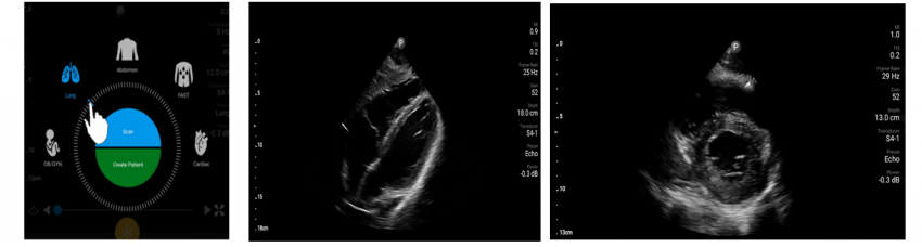
On the market of smartphone ultrasound machines often appears the company Butterfly iQ +. This is an American company, which appeared on the market recently, and immediately managed to compete with experienced manufacturers of ultrasound equipment. The design of the device, the company's website, the idea and the whole project at first glance immediately attracts the potential buyer, but is everything really so sweet there?
From the advantages of the manufacturer - the ability to connect to the two operating systems IOS and Android, the simplicity of the menu and a large number of default presets programmed. The probe is not bulky, not heavy and lies comfortably in the hand. Separately there is software for veterinarians and connection to the device only by cable. In the description at first glance there are modes of operation B , M , B + M, color, pulsed wave and energy Doppler.
At first glance it seems that the transducer can compete with the flagships, but there are some features and they are described at the bottom of the site in small print:
So, if you work in Europe, Asia, Africa, or Australia, you will not be able to fully enjoy the functionality of this device. All you will be able to do is examine in B and M modes and color Doppler. And the price for users is the same everywhere - $2,399 per transducer. And that's not the end of it, because in addition to what you pay for the transducer, in order to get the full functionality with a beginner's training option, the ability to share scans with other specialists, and more, you'll need to pay an additional $420 annually.
In my opinion, the perspective is not very good. And besides, if the site properly reviews the clinical images (assess the presence of artifacts, tissue differentiation, noise attenuation), the imaging is a stretch to an average level.

After rereading a brief analysis of the manufacturer and looking at the main advantages and disadvantages, I think you can conclude for yourself.
And the last manufacturer we would like to consider is a Chinese manufacturer of WI-FI transducers Sonostar. Like Konted, the probe has 2 lenses - convex and linear.
A powerful PR campaign Sonostar has never held, the most minimalistic website, which on one page sets out all the necessary information for the potential user and added clinical images.
The transducer weight: 230 grams; frequency is 7.5-10 (linear) and 3.5-5 (convex).
The functionality of the device includes B, B+M, M, Color, PW, PDI modes (and they work in all regions, unlike Butterfly). And one of the features is the ability to connect to 3 operating systems (IOS, Windows, Android).
From the clinical packages there is only obstetric and the ability to measure the distance, area and volume of the structures. Sonostar clinical images:

Knowing the trend of handheld probes and the speed of technological progress, we have no doubt that the future is in portable, fast, high quality, and accessible to everyone, diagnostics.
05.04.2022