More and more often, our managers are approached by clients with the question of selecting a device for transcranial examinations. Therefore, RH applicators decided to make a short selection of devices which, in our opinion, are best suited for transcranial examinations. Considering the fact that the % of head vascular examinations, compared to other types, is less, you will be presented with devices that allow you to cover a wide range of examinations.
First, however, we would like to return to the general information.
Transcranial Doppler imaging (TCD) of cerebral vessels is performed both for medical reasons and for screening of patients with cardiovascular problems. Vascular ultrasound makes it possible for people of all ages to be examined.
The examination is performed with a sector transducer through 'cranial windows', as these are the areas where bones of the skull are thinner and allow the best transmission of ultrasound. On the side of device, a good penetrating ability is provided by a stream of waves with low frequency. Since the higher the frequency, the faster the ultrasound wave attenuates, it is best to use transducers with a frequency of 1-6 MHz.
However, in order to obtain a diagnostically-appropriate image, one sensor with the appropriate frequency is not enough. You also need a machine with a good power which allows us to obtain an image with acceptable 2D resolution and high color Doppler sensitivity. We all know that machines are divided into different classes. In this article, we want to show you that for a good head vascular examination, it is not necessary to choose a premium class machine with an exorbitant price.
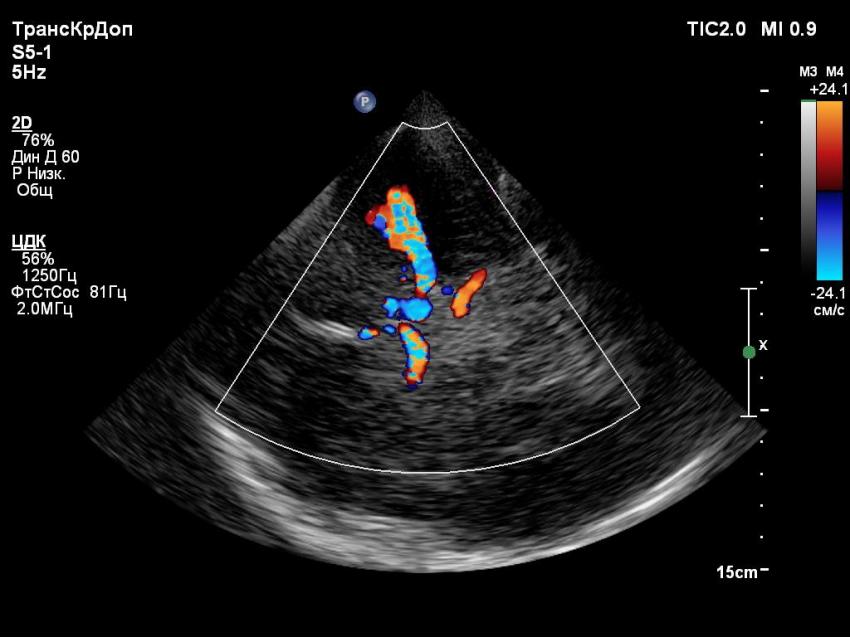
The device of expert / premium class.
Shows us high resolution 2D mode, color Doppler sensitivity.
Along with Epiq 7 with similar resolution and Doppler sensitivity, we can recommend such devices as Epiq 5, Affiniti 50/ Affiniti 70.
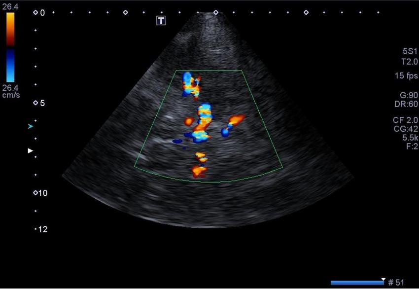
As for other brands, we pay attention to Toshiba i-series i600/i700/i800/i900

They are proven to be expert class machines that demonstrate their ability in all types of examinations. This image is from Toshiba Aplio 300. Generally speaking, the wide range of functions of this company's machines allows us to achieve the image option that best suits the doctor. Those who have encountered images from different brands will understand.

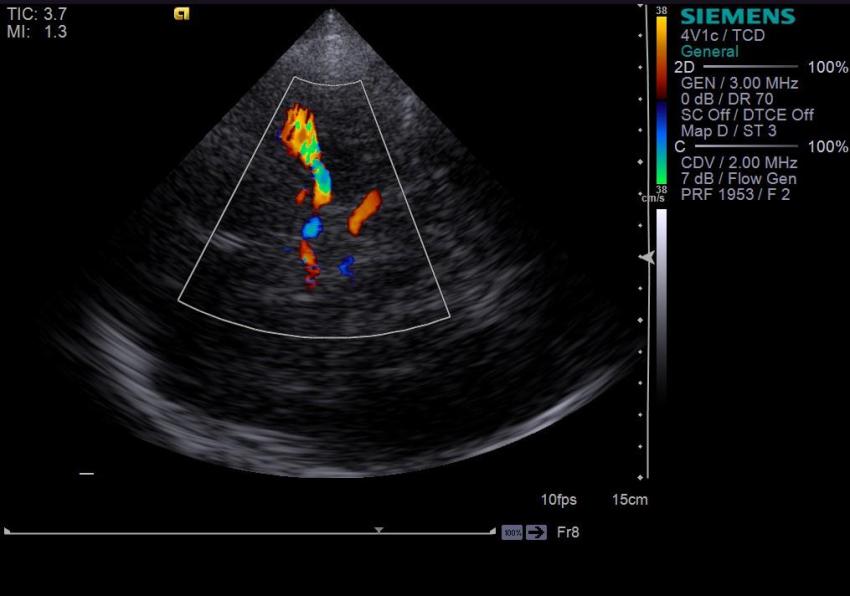
Along with this line, we can safely put Siemens Acuson S2000/3000; s2000/3000 Helx and Helx Evolution, where the imaging between these models will not differ significantly. Also in terms of power and quality, Medison WS/RS80 and HS70/60; Aloka Arietta V70/60; Aloka Arietta V70/60.

If we want to consider devices of the class below expert, but above average, we can safely choose between Siemens NX2/Siemens NX3 or Acuson X700, Toshiba Xario 100/ Xario 200

In terms of budget devices that are more affordable, the Siemens X150/300 has performed quite well in this particular area.
We can also consider Logiq e as a portable option

14.09.2022