Mayo Clinic has published a study showing evidence of gadolinium deposition in brain tissues after administering intravenous gadolinium-based MRI contrast agents.
Normally, gadolinium-based contrast agents are considered safe for patients with normal hepatobiliary and renal function. Previously, it was thought that gadolinium doesn’t leave blood vessels, and surely doesn’t deposit in tissues. However, recently in Japan and now Mayo Clinic have confirmed that gadolinium indeed accumulates mostly in brain tissue after administration. The implications of such a discovery are far-reaching because millions of contrast-enhanced MRI exams are performed annually.
The study aimed to assess the presence of elemental gadolinium deposits and also to investigate if the deposits affect T1-weighted signal intensity. There were two groups, one a group of recently deceased patients who had undergone multiple gadolinium contrast enhanced MRI exams and the other a control group of patients who had no gadolinium exposure. Researchers were able to visualize and measure concentrations of deposits in brain tissues. They were also able to show a link between lifetime exposure to gadolinium and its concentration in the brain.
"Despite evidence that trace amounts of gadolinium are depositing in neural tissues, there is currently no data to suggest that it's harmful to patients," says Dr. Eckel. "These FDA-approved, gadolinium-based contrast agents provide critical information to radiologists and other physicians, enabling more accurate and timely diagnosis of disease. Such information is essential in guiding both medical and surgical decisions for best patient care," said study author, Laurence Eckel, M.D., radiologist, Mayo Clinic.
The Mayo Clinic study did not investigate the effect of gadolinium deposits in the clinical setting, but the research is already under way. Currently, there is no evidence that correlates gadolinium exposure to specific symptoms or other health related problems. The only disease related to gadolinium is nephrogenic systemic fibrosis, which occurs in a small fraction of patients with renal failure. Also, there is no data available that tips the benefit/risk scale towards the risk end.

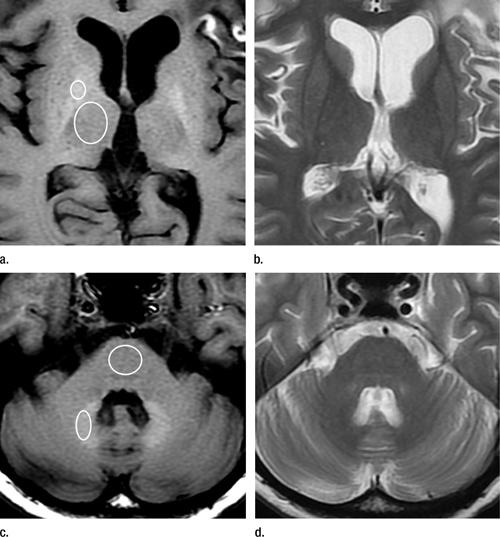
Figure 1. MR images in 45-year-old woman with glioblastoma treated with surgery, chemotherapy, and radiation therapy. (a) Unenhanced T1-weighted image shows high-signal-intensity globus pallidus. Standard ROIs were placed around globus pallidus and thalamus. (b) Fast spin-echo T2-weighted image at same level as a. (c) Unenhanced T1-weighted image shows high-signal-intensity dentate nucleus. Standard ROIs were placed around dentate nucleus and pons. (d) Fast spin-echo T2-weighted image at same level as c.
"High Signal Intensity in the Dentate Nucleus and Globus Pallidus on Unenhanced T1-weighted MR Images: Relationship with Increasing Cumulative Dose of a Gadolinium-based Contrast Material." Collaborating with Dr. Kanda were Kazunari Ishii, M.D., Ph.D., Hiroki Kawaguchi, M.D., Kazuhiro Kitajima, M.D., Ph.D., and Daisuke Takenaka, M.D., Ph.D.
04.08.2015